Skip to main content
Contenuto
Cards
Image
Laboratorio Biomateriali
Biomaterials

Prof. Luigi Chiarini
Via Campi, 213/a
41125 Modena, Italia

Image
Generic lab img
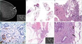
Breast Cancer Research and Clinical Trials

Prof. Federico Piacentini
Via Del Pozzo, 71
41124 Modena, Italia

Image
edgc
Diagnostic Hematology & Clinical Genomics

Prof. Enrico Tagliafico
Via Del Pozzo, 71
41124 Modena, Italia

Image
Lab Immunoematologia Sperimentale
Experimental and Clinical Hematology

Prof. Mario Luppi
Prof. Potenza Leonardo
Prof. Roberto Marasca
Via Del Pozzo, 71
41124 Modena, Italia

Image
Experimental pneumology
Experimental Pneumology

Prof. Enrico Clini
Via Del Pozzo, 71
41124 Modena, Italia

Image
Cavazza lab link
Gene Editing for Rare Diseases

Prof.ssa Alessia Cavazza
Via Del Pozzo, 71
41124 Modena, Italia

Image
Generic lab img
General Pathology and Immunology

Prof. Andrea Cossarizza
Via Del Pozzo, 71
41124 Modena, Italia

Image
Generic lab img
Genomic Medicine and Rare, Liver and Metabolic Diseases

Prof. Antonello Pietrangelo
Via Del Pozzo, 71
41124 Modena, Italia

Image
Generic lab img
Gynecological Endocrinology and Menopause

Prof. Alessandro Genazzani
Via Del Pozzo, 71
41124 Modena, Italia

Image
Gynecology, Obstetrics and Reproductive Medicine
Gynecology, Obstetrics and Reproductive Medicine

Prof. Antonio La Marca
Via Del Pozzo, 71
41124 Modena, Italia

Image
Generic lab img
Hereditary Gastrointestinal Tumors

Prof. Luca Roncucci
Via Del Pozzo, 71
41124 Modena, Italia

Image
Histocytological and Molecular Pathology img
Histocytological and Molecular Pathology

Prof. Albino Eccher
Via Del Pozzo, 71
41124 Modena, Italia

Image
Generic lab img
Imaging Research

Prof.ssa Annarita Pecchi
Via Del Pozzo, 71
41124 Modena, Italia

Image
Generic lab img
Internal Medicine and Metabolic Diseases

Prof. Paolo Ventura
Via Pietro Giardini, 1355
41126 Modena, Località Baggiovara, Italia

Image
Generic lab img
Joint Diseases

Prof. Fabio Catani
Via Del Pozzo, 71
41124 Modena, Italia

Image
Generic lab img
Medical Statistics and Methodology of Clinical Research

Prof. Roberto D'Amico
Via Del Pozzo, 71
41124 Modena

Image
Generic lab img
Neonatal Intensive Care Unit

Neonatal Intensive Care Unit
Prof. Alberto Berardi
Via Del Pozzo, 71
41124 Modena, Italia

Image
Generic lab img
Oncologic Surgical Dermatology and Rare Diseases

Prof.ssa Cristina Magnoni
Via Del Pozzo, 71
41124 Modena, Italia

Image
Radiation Oncology Research
Radiation Oncology Research

Prof. Alessio Bruni
Via Del Pozzo, 71
41124 Modena

Image
Laboratorio terapie cellulari
Therapies With Cells

Prof. Massimo Dominici
Via Del Pozzo, 71
41124 Modena, Italia

Image
Generic lab img
Thoracic Surgery

Prof. Pier Luigi Filosso
Via Pietro Giardini, 1355
41126 Modena, Località Baggiovara, Italia